Wymiana zębów na implanty to temat, który budzi wiele emocji i pytań, szczególnie w kontekście kosztów związanych z tym zabiegiem. W Polsce ceny implantów mogą się znacznie różnić w zależności od wielu czynników, takich jak lokalizacja gabinetu stomatologicznego, doświadczenie lekarza oraz jakość używanych materiałów. Średni koszt jednego implantu zębowego w Polsce oscyluje wokół 3000 do 6000 złotych, jednak warto pamiętać, że cena ta może obejmować tylko sam implant, a nie dodatkowe procedury, takie jak diagnostyka czy odbudowa protetyczna. Warto również zwrócić uwagę na to, że niektóre kliniki oferują pakiety, które mogą obejmować kilka implantów oraz inne usługi stomatologiczne w atrakcyjniejszej cenie. Dlatego przed podjęciem decyzji o wymianie zębów na implanty warto dokładnie zbadać rynek i porównać oferty różnych gabinetów.
Jakie są dodatkowe koszty związane z implantami zębowymi?
Decydując się na wymianę zębów na implanty, warto mieć świadomość, że całkowity koszt zabiegu może być znacznie wyższy niż tylko cena samego implantu. Oprócz samego implantu należy uwzględnić różnorodne dodatkowe koszty, które mogą się pojawić w trakcie całego procesu leczenia. W pierwszej kolejności warto wspomnieć o kosztach diagnostycznych, takich jak zdjęcia rentgenowskie czy tomografia komputerowa, które są niezbędne do oceny stanu kości oraz planowania zabiegu. Kolejnym istotnym elementem są koszty związane z przygotowaniem jamy ustnej do wszczepienia implantu. Może to obejmować zabiegi takie jak ekstrakcje zębów, regeneracja kości czy leczenie chorób przyzębia. Dodatkowo po wszczepieniu implantu często konieczne jest wykonanie korony protetycznej, co również generuje dodatkowe wydatki.
Czy istnieją alternatywy dla implantów zębowych?

Ile kosztuje wymiana zębów na implanty?
Wymiana zębów na implanty to jedna z najskuteczniejszych metod przywracania utraconych zębów, jednak nie jest jedyną opcją dostępną dla pacjentów. Istnieje wiele alternatyw dla implantów zębowych, które mogą być mniej kosztowne lub bardziej odpowiednie dla określonych sytuacji zdrowotnych. Jedną z najpopularniejszych opcji są mosty protetyczne, które pozwalają na uzupełnienie brakujących zębów poprzez osadzenie ich na zdrowych zębach sąsiednich. Mosty są zazwyczaj tańsze niż implanty i mogą być wykonane w krótszym czasie. Inną alternatywą są protezy ruchome lub stałe, które również mogą skutecznie zastąpić utracone zęby. Protezy mają swoje zalety i wady, ale dla wielu pacjentów stanowią akceptowalne rozwiązanie ze względu na niższe koszty i prostotę wykonania.
Jak długo trwa proces wymiany zębów na implanty?
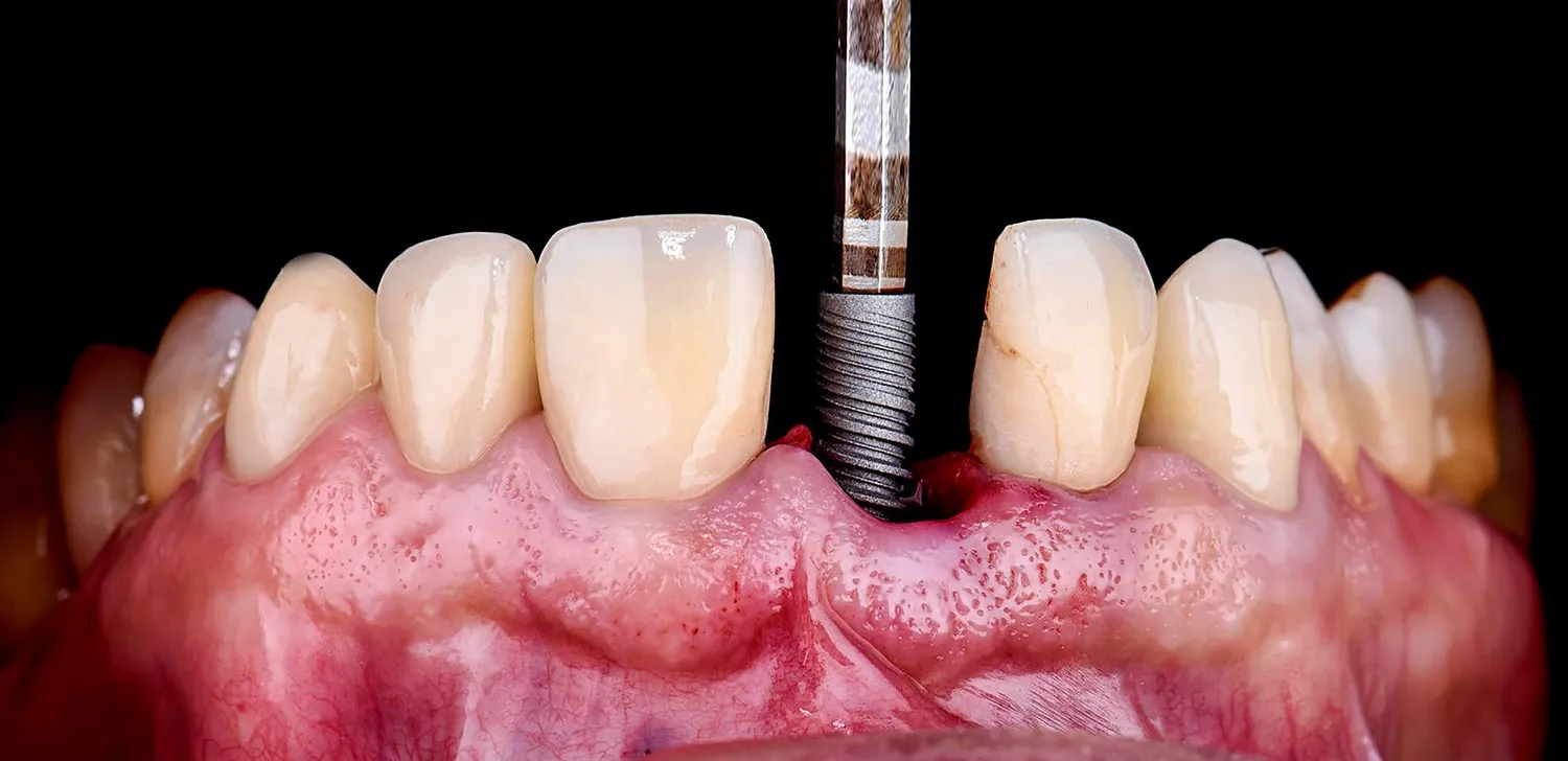
Proces wymiany zębów na implanty jest skomplikowanym przedsięwzięciem, które wymaga czasu i cierpliwości ze strony pacjenta. Całkowity czas trwania leczenia może się różnić w zależności od wielu czynników, takich jak liczba wszczepianych implantów oraz stan zdrowia jamy ustnej pacjenta. Zazwyczaj cały proces można podzielić na kilka etapów. Pierwszym krokiem jest konsultacja ze specjalistą oraz wykonanie niezbędnych badań diagnostycznych. Następnie następuje etap wszczepienia implantu do kości szczęki lub żuchwy, co może trwać od 30 minut do kilku godzin w zależności od skomplikowania przypadku. Po wszczepieniu implantu konieczny jest czas gojenia się tkanek oraz integracji implantu z kością, co zazwyczaj trwa od 3 do 6 miesięcy. Po tym okresie można przystąpić do wykonania korony protetycznej lub innego uzupełnienia protetycznego.
Jakie są najczęstsze pytania dotyczące implantów zębowych?
W miarę jak coraz więcej osób decyduje się na wymianę zębów na implanty, pojawia się wiele pytań dotyczących tego zabiegu. Jednym z najczęściej zadawanych pytań jest to, czy wszczepienie implantu boli. Warto zaznaczyć, że podczas zabiegu stosuje się znieczulenie miejscowe, co sprawia, że pacjent nie odczuwa bólu. Po zabiegu mogą wystąpić pewne dolegliwości, takie jak obrzęk czy dyskomfort, które można złagodzić za pomocą leków przeciwbólowych. Kolejnym istotnym pytaniem jest czas gojenia się implantu. Jak już wcześniej wspomniano, proces ten trwa zazwyczaj od 3 do 6 miesięcy, ale może się różnić w zależności od indywidualnych predyspozycji pacjenta oraz stanu zdrowia jamy ustnej. Pacjenci często zastanawiają się również nad trwałością implantów. Przy odpowiedniej pielęgnacji i regularnych wizytach kontrolnych implanty mogą służyć przez wiele lat, a nawet całe życie.
Jakie są zalety i wady implantów zębowych?
Decyzja o wymianie zębów na implanty wiąże się z wieloma zaletami, ale także pewnymi wadami, które warto rozważyć przed podjęciem ostatecznej decyzji. Do głównych zalet implantów należy ich trwałość i funkcjonalność. Implanty są znacznie bardziej stabilne niż protezy ruchome i pozwalają na normalne żucie oraz mówienie bez obaw o ich przesuwanie się. Dodatkowo implanty pomagają zachować naturalny kształt twarzy oraz zapobiegają utracie kości w miejscu brakującego zęba, co jest istotne dla zdrowia jamy ustnej. Warto jednak pamiętać o pewnych wadach związanych z tym rozwiązaniem. Przede wszystkim koszt wymiany zębów na implanty może być znaczny, co dla wielu pacjentów stanowi barierę finansową. Ponadto nie każdy pacjent jest odpowiednim kandydatem do zabiegu; osoby z chorobami przyzębia czy niewystarczającą ilością kości mogą wymagać dodatkowych procedur przed wszczepieniem implantu. Istnieje także ryzyko powikłań pooperacyjnych, takich jak infekcje czy problemy z integracją implantu.
Jak przygotować się do zabiegu wszczepienia implantu?
Przygotowanie do zabiegu wszczepienia implantu jest kluczowym etapem, który ma wpływ na powodzenie całego procesu leczenia. Pierwszym krokiem jest konsultacja ze specjalistą stomatologii, który oceni stan zdrowia jamy ustnej oraz przeprowadzi niezbędne badania diagnostyczne. Warto również przedstawić lekarzowi pełną historię medyczną oraz listę przyjmowanych leków, aby uniknąć potencjalnych interakcji czy komplikacji podczas zabiegu. Kolejnym ważnym elementem przygotowania jest higiena jamy ustnej; przed zabiegiem należy szczególnie dbać o czystość zębów i dziąseł, aby zmniejszyć ryzyko infekcji. W dniu zabiegu warto zadbać o to, aby nie jeść ani nie pić przez kilka godzin przed wizytą w gabinecie stomatologicznym. Pacjenci powinni również rozważyć organizację transportu do domu po zabiegu, ponieważ po zastosowaniu znieczulenia mogą czuć się osłabieni lub mieć ograniczone zdolności motoryczne.
Jak dbać o implanty zębowe po ich wszczepieniu?
Prawidłowa pielęgnacja implantów zębowych po ich wszczepieniu jest kluczowa dla zapewnienia ich długotrwałego funkcjonowania oraz zdrowia jamy ustnej. Po zakończeniu procesu gojenia pacjenci powinni stosować się do zaleceń lekarza dotyczących higieny jamy ustnej. Regularne szczotkowanie zębów co najmniej dwa razy dziennie oraz nitkowanie to podstawowe zasady dbania o implanty. Ważne jest również używanie odpowiednich narzędzi do czyszczenia przestrzeni międzyzębowych oraz unikanie twardych pokarmów, które mogą uszkodzić koronę protetyczną zamocowaną na implancie. Pacjenci powinni również regularnie odwiedzać dentystę na kontrole oraz profesjonalne czyszczenie jamy ustnej co najmniej raz na pół roku. Dzięki temu możliwe będzie wczesne wykrycie ewentualnych problemów oraz utrzymanie zdrowia dziąseł wokół implantu. Należy także unikać palenia papierosów oraz nadmiernego spożycia alkoholu, ponieważ te czynniki mogą negatywnie wpływać na proces gojenia oraz integrację implantu z kością.
Czy implanty zębowe są dla każdego pacjenta?
Decyzja o wymianie zębów na implanty nie zawsze jest odpowiednia dla każdego pacjenta. Istnieje szereg czynników medycznych oraz osobistych, które mogą wpłynąć na możliwość przeprowadzenia tego zabiegu. Przede wszystkim ważny jest stan zdrowia jamy ustnej; osoby cierpiące na choroby przyzębia lub mające niewystarczającą ilość kości w miejscu brakującego zęba mogą wymagać dodatkowych procedur przed przystąpieniem do wszczepienia implantu. W takich przypadkach lekarz może zalecić regenerację kości lub inne terapie wspomagające przed wykonaniem zabiegu. Ponadto osoby palące papierosy lub nadużywające alkoholu powinny być świadome ryzyka powikłań pooperacyjnych związanych z tymi nawykami; lekarze często zalecają rzucenie palenia lub ograniczenie spożycia alkoholu przed przystąpieniem do leczenia implantologicznego.
Jak wybrać odpowiednią klinikę stomatologiczną?
Wybór odpowiedniej kliniki stomatologicznej to kluczowy krok w procesie wymiany zębów na implanty. Istotnym czynnikiem jest doświadczenie lekarza prowadzącego; warto zwrócić uwagę na jego kwalifikacje oraz liczbę przeprowadzonych zabiegów implantologicznych. Dobrym pomysłem jest również poszukiwanie opinii innych pacjentów na temat konkretnej kliniki; rekomendacje znajomych lub recenzje w internecie mogą dostarczyć cennych informacji o jakości usług oferowanych przez daną placówkę. Kolejnym aspektem jest wyposażenie kliniki; nowoczesny sprzęt diagnostyczny oraz technologie stosowane w leczeniu mogą znacząco wpłynąć na komfort i bezpieczeństwo pacjenta podczas zabiegu. Ważna jest także atmosfera panująca w klinice; przyjazna obsługa oraz komfortowe warunki mogą znacząco wpłynąć na samopoczucie pacjenta przed i po zabiegu.











