Implanty zygomatyczne to innowacyjne rozwiązanie w dziedzinie stomatologii, które zostało opracowane z myślą o pacjentach z poważnymi ubytkami kostnymi w szczęce. W przeciwieństwie do tradycyjnych implantów, które wymagają odpowiedniej ilości kości do osadzenia, implanty zygomatyczne są dłuższe i mocowane w kości jarzmowej, co pozwala na ich zastosowanie nawet w przypadku znacznego zaniku kości. Dzięki temu pacjenci, którzy wcześniej nie mieli możliwości skorzystania z implantów, mogą teraz cieszyć się stabilnymi i funkcjonalnymi uzupełnieniami protetycznymi. Proces ich wszczepienia jest skomplikowany i wymaga precyzyjnego planowania oraz doświadczenia ze strony chirurga stomatologicznego. Warto zaznaczyć, że implanty zygomatyczne mogą być stosowane zarówno jako pojedyncze elementy, jak i w ramach większych rekonstrukcji, co czyni je niezwykle wszechstronnym rozwiązaniem.
Jakie są zalety implantów zygomatycznych dla pacjentów
Implanty zygomatyczne oferują szereg korzyści dla osób borykających się z problemami stomatologicznymi związanymi z brakiem kości w szczęce. Przede wszystkim umożliwiają one szybsze i mniej inwazyjne leczenie, ponieważ nie wymagają skomplikowanych zabiegów augmentacji kości, które są często czasochłonne i bolesne. Dzięki temu pacjenci mogą uniknąć długotrwałego procesu gojenia oraz dodatkowych interwencji chirurgicznych. Kolejną istotną zaletą jest to, że implanty te zapewniają stabilność i trwałość uzupełnień protetycznych, co przekłada się na komfort codziennego użytkowania. Pacjenci mogą cieszyć się pełną funkcjonalnością zębów oraz poprawionym wyglądem estetycznym. Dodatkowo, implanty zygomatyczne są często stosowane w przypadkach, gdy tradycyjne metody leczenia nie przynoszą oczekiwanych rezultatów.
Kto może skorzystać z implantów zygomatycznych i jakie są przeciwwskazania

Implanty zygomatyczne co to jest?
Implanty zygomatyczne są przeznaczone głównie dla osób dorosłych, które borykają się z poważnymi ubytkami kostnymi w szczęce. Często są to pacjenci po ekstrakcjach zębów lub osoby cierpiące na choroby przyzębia prowadzące do zaniku kości. Warto jednak pamiętać, że nie każdy pacjent kwalifikuje się do tego typu leczenia. Istnieją pewne przeciwwskazania, które mogą wykluczać możliwość wszczepienia implantów zygomatycznych. Należą do nich m.in. choroby ogólnoustrojowe takie jak cukrzyca czy osteoporoza, które mogą wpływać na proces gojenia oraz integrację implantu z kością. Ponadto osoby palące papierosy również powinny być ostrożne, ponieważ palenie może negatywnie wpływać na wyniki leczenia.
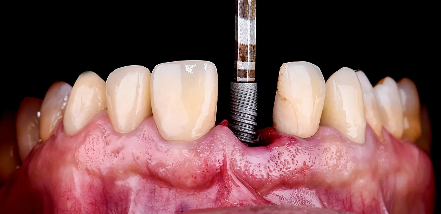
Jak wygląda proces wszczepienia implantów zygomatycznych krok po kroku
Proces wszczepienia implantów zygomatycznych składa się z kilku kluczowych etapów, które mają na celu zapewnienie bezpieczeństwa oraz skuteczności całej procedury. Pierwszym krokiem jest szczegółowa konsultacja ze specjalistą, podczas której lekarz ocenia stan zdrowia pacjenta oraz wykonuje badania diagnostyczne takie jak tomografia komputerowa. Na podstawie uzyskanych wyników lekarz opracowuje indywidualny plan leczenia. Następnie następuje etap zabiegu chirurgicznego, który zazwyczaj odbywa się w znieczuleniu ogólnym lub miejscowym. Chirurg precyzyjnie umieszcza implanty w kości jarzmowej, co wymaga dużej precyzji i doświadczenia. Po wszczepieniu implantu następuje okres gojenia, który trwa od kilku tygodni do kilku miesięcy. W tym czasie organizm integruje implant z kością, co jest kluczowe dla jego stabilności.
Czy implanty zygomatyczne są drogie i jakie są koszty leczenia
Koszt leczenia implantami zygomatycznymi może być znacznie wyższy niż tradycyjnych metod wszczepiania implantów ze względu na bardziej skomplikowany proces chirurgiczny oraz potrzebę zaawansowanego sprzętu medycznego. Ceny wahają się w zależności od lokalizacji gabinetu stomatologicznego oraz doświadczenia specjalisty przeprowadzającego zabieg. Warto jednak pamiętać, że inwestycja w zdrowie jamy ustnej przynosi długoterminowe korzyści zarówno zdrowotne jak i estetyczne. Wiele klinik oferuje różne opcje finansowania oraz możliwość rozłożenia płatności na raty, co może ułatwić dostęp do tego typu leczenia dla większej liczby pacjentów. Dodatkowo warto zwrócić uwagę na to, że koszt leczenia może obejmować nie tylko sam zabieg wszczepienia implantu, ale także konsultacje przedoperacyjne oraz późniejsze wizyty kontrolne.
Jakie są możliwe powikłania po wszczepieniu implantów zygomatycznych
Jak w przypadku każdego zabiegu chirurgicznego, także i przy wszczepieniu implantów zygomatycznych mogą wystąpić pewne powikłania. Wśród najczęstszych problemów, które mogą się pojawić, znajduje się infekcja w miejscu wszczepienia implantu. Infekcje mogą prowadzić do stanu zapalnego oraz bólu, co wymaga dodatkowego leczenia i czasami usunięcia implantu. Innym potencjalnym powikłaniem jest brak integracji implantu z kością, co oznacza, że implant nie łączy się odpowiednio z tkanką kostną. Może to być spowodowane różnymi czynnikami, takimi jak palenie papierosów, niewłaściwa higiena jamy ustnej czy choroby ogólnoustrojowe. Ponadto, niektórzy pacjenci mogą doświadczać dyskomfortu lub bólu w okolicy wszczepienia, co może być wynikiem nieprawidłowego umiejscowienia implantu lub reakcji organizmu na materiał implantacyjny. Dlatego tak ważne jest, aby pacjenci przestrzegali zaleceń lekarza zarówno przed zabiegiem, jak i po nim.
Jak dbać o implanty zygomatyczne po ich wszczepieniu
Odpowiednia pielęgnacja implantów zygomatycznych jest kluczowa dla zapewnienia ich długotrwałego funkcjonowania oraz zdrowia jamy ustnej. Po zabiegu pacjenci powinni szczególnie dbać o higienę jamy ustnej, aby uniknąć infekcji oraz innych powikłań. Zaleca się regularne szczotkowanie zębów przynajmniej dwa razy dziennie oraz używanie nici dentystycznej do czyszczenia przestrzeni międzyzębowych. Warto również stosować płyny do płukania jamy ustnej zawierające antybakteryjne składniki, które pomogą w utrzymaniu zdrowia dziąseł. Pacjenci powinni unikać twardych pokarmów oraz nadmiernego obciążania implantu przez pierwsze tygodnie po zabiegu, aby dać czas na prawidłową integrację implantu z kością. Regularne wizyty u stomatologa są niezbędne do monitorowania stanu zdrowia jamy ustnej oraz ewentualnych zmian związanych z implantami.
Jakie są alternatywy dla implantów zygomatycznych w stomatologii
Chociaż implanty zygomatyczne stanowią doskonałe rozwiązanie dla pacjentów z ubytkami kostnymi, istnieją również inne opcje leczenia stomatologicznego, które mogą być rozważane w zależności od indywidualnych potrzeb pacjenta. Jedną z alternatyw są tradycyjne implanty stomatologiczne, które wymagają odpowiedniej ilości kości do osadzenia. W przypadku pacjentów z niewielkim zanikiem kości można rozważyć zabieg augmentacji kości, który polega na przeszczepie tkanki kostnej w celu zwiększenia objętości kości szczęki. Inną opcją są mosty protetyczne, które mogą być stosowane w przypadku braku kilku zębów obok siebie. Mosty wymagają jednak szlifowania zdrowych zębów sąsiednich, co może być niekorzystne dla ich kondycji. Dla osób preferujących mniej inwazyjne metody istnieją także ruchome protezy dentystyczne, które można łatwo wyjmować i zakładać.
Jakie są opinie pacjentów na temat implantów zygomatycznych
Opinie pacjentów na temat implantów zygomatycznych są zazwyczaj pozytywne i wskazują na znaczną poprawę jakości życia po przeprowadzonym leczeniu. Pacjenci często podkreślają komfort użytkowania oraz estetykę uzyskanych uzupełnień protetycznych. Wielu pacjentów zauważa również poprawę funkcji żucia oraz mowy po wszczepieniu implantów, co wpływa na ich codzienne życie i samopoczucie. Niektórzy pacjenci dzielą się swoimi doświadczeniami związanymi z procesem leczenia oraz rekonwalescencji, podkreślając znaczenie profesjonalizmu lekarza oraz wsparcia personelu medycznego. Oczywiście zdarzają się również negatywne opinie dotyczące powikłań czy trudności związanych z gojeniem się ran pooperacyjnych. Warto jednak pamiętać, że każdy przypadek jest inny i wyniki leczenia mogą się różnić w zależności od indywidualnych predyspozycji pacjenta oraz przestrzegania zaleceń lekarza.
Czy implanty zygomatyczne są dostępne w każdej klinice stomatologicznej
Implanty zygomatyczne to zaawansowane rozwiązanie stomatologiczne wymagające specjalistycznej wiedzy oraz doświadczenia ze strony chirurga stomatologicznego. Dlatego nie każda klinika stomatologiczna oferuje tego typu usługi. Wiele gabinetów skupia się głównie na tradycyjnych metodach leczenia implantologicznego lub prostszych procedurach stomatologicznych. Przed podjęciem decyzji o leczeniu warto dokładnie sprawdzić ofertę różnych klinik oraz zwrócić uwagę na kwalifikacje personelu medycznego oraz dostępność nowoczesnego sprzętu diagnostycznego i chirurgicznego. Dobrym pomysłem jest również zapoznanie się z opiniami innych pacjentów oraz wynikami przeprowadzonych zabiegów w danej placówce.
Jak długo trwa proces gojenia po wszczepieniu implantów zygomatycznych
Czas gojenia po wszczepieniu implantów zygomatycznych może różnić się w zależności od indywidualnych predyspozycji pacjenta oraz specyfiki przeprowadzonego zabiegu. Zazwyczaj okres gojenia trwa od kilku tygodni do kilku miesięcy. W początkowej fazie po operacji pacjenci mogą odczuwać dyskomfort lub ból w okolicy wszczepienia implantu, co jest normalnym objawem po interwencji chirurgicznej. Ważne jest przestrzeganie zaleceń lekarza dotyczących diety oraz higieny jamy ustnej w tym czasie, aby wspierać proces gojenia i minimalizować ryzyko powikłań. Po zakończeniu okresu gojenia następuje etap oceny integracji implantu z kością przez specjalistę, który podejmuje decyzję o dalszym postępowaniu i wykonaniu uzupełnienia protetycznego.








